안녕하세요 디트맨입니다.
오늘은 저번 시간에 이어서 소아 정형외과와 관련된 이야기를 해보려고 합니다

소아에서의 흔한 골절 중에 하나인 쇄골 골절에 대해서 적어보려고 합니다
- 쇄골 골절은 어떻게 진단하는지
- 치료는 어떻게 하는 것인지
- 반드시 수술을 해야하는 것인지
- 골절 후에 생길 수 있는 합병증은 무엇인지
- 골절 후에 어떻게 재활을 하게 되는지
의 순서로 글을 적으려고 합니다.
Q1. 쇄골 골절은 어떻게 진단하나요?
우선 쇄골 골절은 당연히 쇄골에 가해지는 외상에 의해서 발생합니다.
직접 물체가 쇄골 부위를 직접적으로 강타하거나 떨어지면서 손을 짚으면서 간접적으로 손상을 가하기도 합니다

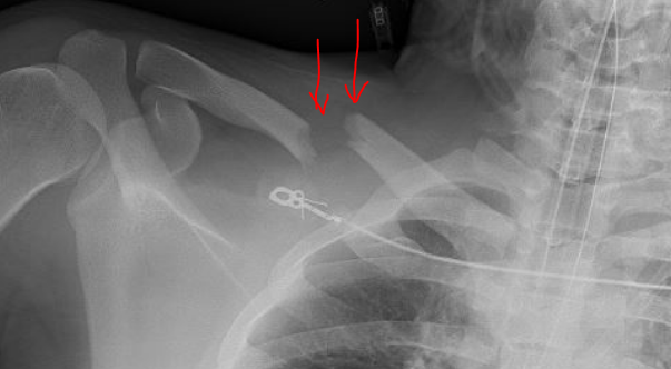
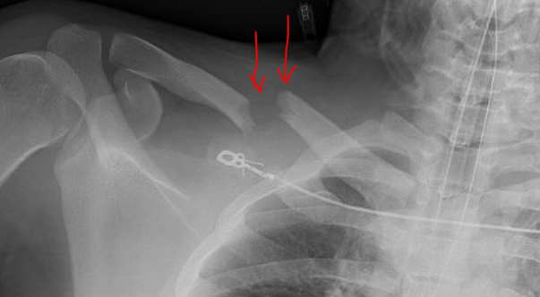
겉으로 보이는 소견으로는 위 사진의 빨간 화살표처럼 쇄골 중심 부위가 솟아오르거나 붓는 증상이 많습니다.
진단에서 가장 중요한 것은 x-ray 방사선 사진입니다.
(소아의 경우에는 골절을 위해서 CT를 찍지 않는 것이 원칙입니다)
x-ray상에서는 다음과 같은 모습을 보이게 됩니다

골절이 된 모습을 확인할 수 있고, 얼마나 벌어졌는지, 분쇄(뼈가 으스러짐)은 있는지 등을 확인할 수 있습니다.
Q2. 쇄골 골절은 어떤 치료를 하게 되나요?
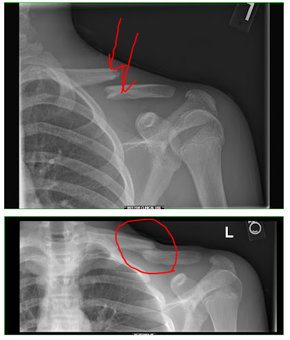
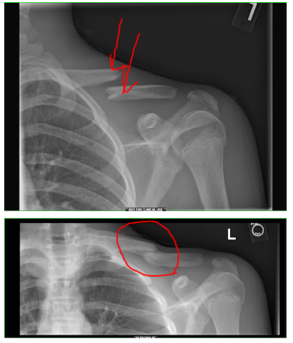
먼저 쇄골 골절은 주로 어디에서 발생할까요?

Allman classification을 통해서 분류하게 됩니다.
Group1은 중심부의 골절을 의미하며, 80퍼센트에 해당하며 가장 흔합니다.
Group2,3는 각각 외측과 내측에 해당합니다.
(특히 소아의 경우에는 거의 대부분 Group1인 중심부 골절에 해당합니다)
쇄골 골절은 나이와 위치, 그리고 골절의 정도에 따라서 치료의 방향이 달라집니다
수술을 해야하는 조건은 다음과 같습니다.
1) 개방성 골절
2) 12세 이상에서의 2cm 이상의 단축(shortening)
3) 혈관 및 신경 손상을 동반하였을 때
제가 말씀드리고 싶은 것은 2번 항목입니다
(사실 1번과 3번 항목은 어떠한 경우에도 수술을 해야하는 아주 확실한 경우입니다)
2번 항목에 대한 설명이 부모님들에게 도움이 될 것이라고 생각해서 부연 설명을 드리겠습니다
12세 이상에서의 2cm 이상의 단축이 수술의 조건이라는 말을 이해할 필요가 있습니다
1) 12세 이하의 어린이는 어떠한 경우에도 수술을 하지 않는 것이 원칙이라는 뜻입니다.
2) 12세 이상의 어린이어도 2cm보다 단축이 적은 상태라면 수술을 하지 않는 것이 원칙이라는 말입니다.
-> 한마디로, 대부분 수술을 요하지 않는다는 점을 말씀드리고 싶습니다.

그 이유는 소아는 성인과는 다르게 골절에 대한 재형성력이 강하기 때문입니다.
특히, 12세 이하의 나이에서는 너무나도 강력해서 뼈가 마치 아무일도 없었던 것처럼 다시 붙게 됩니다.
단, 성인의 경우에는 기준이 다릅니다.
성인의 경우에는 골절의 전위(벗어난 정도)가 100퍼센트이상이라면 수술을 하게 됩니다
Q3. 쇄골의 비수술적 치료는 어떤 것들이 있을까요?
우선, 소아의 경우에는 대부분 수술을 안한다는 말씀을 드렸습니다.
이게 key point입니다
수술을 안하게되면 8자 붕대를 하게 됩니다.
응급실에서는 압박붕대를 이용해서 8자 붕대를 만들기도 하지만, 외래에서는 대부분 상업화된 제품을 사용하게 됩니다

쇄골 골절로 인해서 8자 붕대를 하게 되면, 2주 뒤부터 어깨 관절은 운동을 천천히 하게 되고, 6주 정도부터 8자 붕대를 제거하고 근력 운동을 하게 됩니다.

쇄골(clavicle)은 6주 정도의 치유기간을 요한다는 것을 표로 알 수 있습니다.
Q4. 쇄골 골절 시 유의 사항은 무엇일까?
우선 소아의 쇄골 골절의 경우에는 많은 부분 8자 붕대가 치료로 사용되고 있습니다
8자 붕대는 좋은 치료이지만, 너무 강하게 겨드랑이를 압박할 경우에는 혈관 및 신경 등에 손상을 줄 수 있어 주의해야 합니다
응급실에서 8자 붕대를 하고 나면, 경험이 많지 않은 의사의 경우에는 의욕적으로 강하게 8자 붕대를 압박 적용할 수 있습니다
이럴 때 보호자들은 손가락의 색이 파랗게 변하지는 않는지, 과도하게 팔저림 증상이 있지는 않은지 반드시 확인하셔야 합니다.
이렇게 2번째 주제를 살펴보았습니다
응급실로 찾는 소아 쇄골 골절 환자가 많습니다
이글을 통해서 많은 도움을 받으셔서, 마음을 편히 갖게 되길 기원하면서 마치겠습니다.
꾸준히 소아 정형외과 질환에 대해서 올려보려고 합니다.
'정형외과 > 정형외과 이야기' 카테고리의 다른 글
| 정형외과 의사가 말하는 소아 질환 (4편, 성인 방아쇠 수지,소아 방아쇠 수지) (21) | 2022.10.05 |
|---|---|
| 정형외과 의사가 말하는 응급 질환(2편, 교상, 뱀/사람/강아지에게 물리면, 광견병) (45) | 2022.10.03 |
| 정형외과 의사가 말하는 소아 질환 (3편, 어린이 팔꿈치 골절, 과상부 골절) (37) | 2022.10.01 |
| 정형외과 의사가 말하는 내성 발톱(ingrowing nail)의 진단, 예방, 치료 (35) | 2022.09.25 |
| 정형외과 의사가 말하는 응급 질환(1편, 열상, 칼에 손이 베였을 때) (54) | 2022.09.18 |
| 정형외과 의사가 말하는 소아 질환(1편, 고관절 통증, 일과성 활액막염, 감염성 고관절, 청소년류마티스 관절염) (24) | 2022.09.09 |
| 골다공증에 대해서 알아보자(2)_ 진단 및 치료 (12) | 2022.09.02 |
| 골다공증은 무엇이고 왜 치료해야 하는가?(1) (2) | 2022.08.28 |