반응형
목차
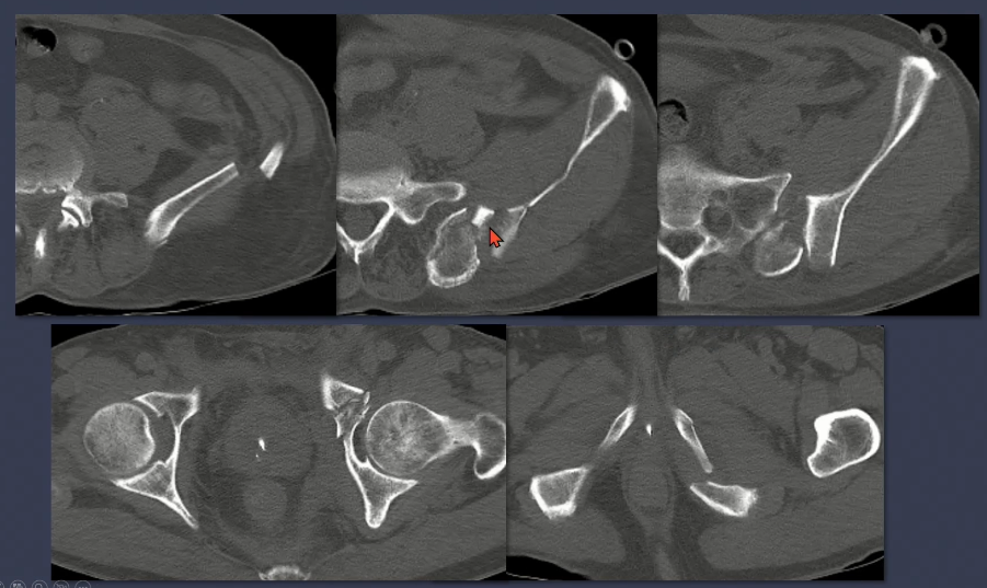
1. Anatomy & Young-Burgess classification




2. APC type











3. LC type














4. Vertical shear type



반응형
'정형외과 > 근골격 영상 공부' 카테고리의 다른 글
| hip disease_01_Labral tear (0) | 2024.11.21 |
|---|---|
| Hip joint anatomy_고관절 해부학 (0) | 2024.11.20 |
| 비구 골절_acetabulum fracture (4) | 2024.11.20 |
| 비구 골절_acetabulum fracture (1) | 2024.11.19 |
| 족부 골절 영상 공부_발목 외 기타 골절 (0) | 2024.11.14 |
| 족부 골절 영상 공부_Fracture of ankle (2) | 2024.11.13 |
| 발목 MRI 공부_Ankle instability (0) | 2024.11.12 |
| 발목 MRI 공부_Ankle impingement (0) | 2024.11.12 |