목차
Acute Trauma of ankle and foot의 영상에 대해서 정리했습니다.
발목 관절부터 중족골 골절까지 영상 판독 위주로 정리하였으나, 중요도가 높은 발목 골절에 대해서 자세히 다루고, 나머지골절은 다음 글에 정리하려고 합니다.
(청소년기의 발목 골절, 필론 골절, 거골 골절, 종골 골절, 중족골 골절 등)

1. Ankle Fracture (발목 관절 골절)의 분류 방식

가장 많이 사용하는 분류법은 Lauge-Hansen classification.
수상 당시의 발의 위치와 작용하는 외력을 이용해서 표시함.
(아래에 자세히 기술)
Danis-Weber classification 도 같이 병기해서 보고하면 도움이 됨.
정형외과 영역에서 AO classification도 많이 사용하지만, 추후에 따로 정리하려고 합니다.


앞에서 이야기 했듯이, Lauge-Hansen classification은 수상 당시의 발의 위치와 작용하는 외력으로 표시하게 됩니다.
- 수상 당시 발의 위치: 발바닥이 안쪽으로 보이는 것을 Supination, 반대로 밖으로 보이는 것을 Pronation이라고 함.
- 작용하는 외력: Tibia를 기준으로 Talus가 어떻게 움직이는지를 의미. Abduction / Adduction/ External rotation이 있음.
2가지의 문자를 조합해서 발목 골절의 type를 정하는 것이 Lauge-Hansen classification입니다.
총 6개의 조합이 가능하지만, 주로 사용하는 분류는 SER / SA(Adduction) / PER / PA(Abduction) 입니다.
A가 헷갈릴 수 있지만, supination의 경우에는 발바닥이 안쪽으로 보이는 것을 의미하는데, 이떄 외력은 Adduction이 되는 방향으로 작용하게 된다는 것을 이해하면 헷갈리는 것이 적을 것 같습니다.
2. SER type ankle fracture

가장 흔한 ankle 골절인 SER type입니다. 자세히 설명해보도록 하겠습니다.
우측 상단의 그림을 이해하시면, 전체적인 맥락을 어렵지 않게 이해할 수 있습니다. 1) 손상될 때 에너지가 처음 가해지는 위치와 2) 어떤 방향으로 에너지가 전달되는지를 이해하면 됩니다.
1) 처음 에너지가 가해지는 위치: SER은 최초의 발의 위치가 supination된 상태이므로 외측이 늘어나고, 시작점이 됩니다.
2) 에너지가 전달되는 방향: External rotation이므로, 해당 그림을 좌측 발을 위에서 보는 것이라고 생각했을 때, 반시계 방향으로 전달된다고 이해하시면 됩니다. (우측의 경우에는 시계방향)
이를 바탕으로 4가지의 단계를 생각하시면 됩니다.
- Stage1: ankle sprain에서도 잘 일어나는 ATFL injury
- Stage2: Stage1 + distal fibula의 sprial 또는 oblique한 골절 (높이는 Danis-Weber classification상 B)
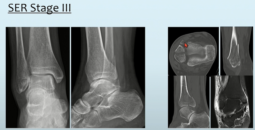
- Stage3: Stage 2 + PITFL injury 또는 PM 골절
- Stage4: Stage 3 + MM 골절 또는 Deltoid ligament injury
다음은 실제 사례입니다.

MRI상 ATFL injury 및 다른 영상에서 distal fibula에서 골절 소견이 있습니다.

Stage2에 합당한 소견이 보이면서, PM 골절이 동반되어 stage 3라고 판단할 수 있습니다.

Stage3에 합당한 소견을 보이면서, MM 골절이 동반되어 있으므로 Stage4로 판단할 수 있습니다.
3. SA type ankle fracture

SER을 이해하셨던대로, 1) 손상될 때 에너지가 처음 가해지는 위치와 2) 어떤 방향으로 에너지가 전달되는지를 이해하면 됩니다.
1) 처음 에너지가 가해지는 위치: SER은 최초의 발의 위치가 supination된 상태이므로 외측이 늘어나고, 시작점이 됩니다.
2) 에너지가 전달되는 방향: ADDuction 방향으로 힘을 받게됩니다. 정면에서 보았을때는 외측에서 내측으로 에너지가 작용했을 것이라고 생각하면 됩니다.
이를 바탕으로 정리해보면,
- Stage1: distal fibula가 trasverse fracture의 양상을 보임
- Stage2: Talus가 Medial malleolus를 건드려서 vertical한 양상의 골절을 보임
SA type = distal fibula의 transverse한 골절 양상( Danis-Weber classification상 A ) + MM의 vertical한 골절

실제 사진을 보아도 특징적인 모습을 볼 수 있습니다.
4. PER type ankle fracture

위에서 말씀드렸던대로 PER를 이해하면, 시작점은 내측(pronation이므로)이며, 에너지의 이동 방향은 SER과 동일합니다.
따라서,
- Stage1: MM 골절 또는 Deltoid ligament injury로 시작
- Stage2: ATFL 손상
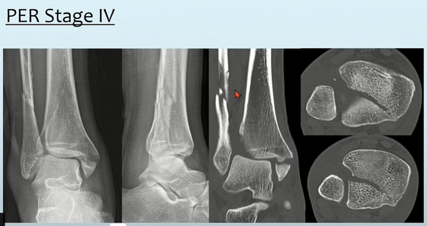
- Stage3: high fibular fracture (굉장히 특징적입니다. 높이는 Danis-Weber classification상 C)
- Stage4: PM 또는 PTIFL injury


실제 영상보면, high fibular fracture가 특징적입니다.
5. PA type ankle fracture

마지막으로 PA type을 이해보겠습니다.
발의 모양이 pronation이므로 내측에서부터 손상이 시작되고, ABDuction으로 에너지가 작용하니 내측에서 외측으로 이동할 것임을 이해할 수 있습니다.
따라서,
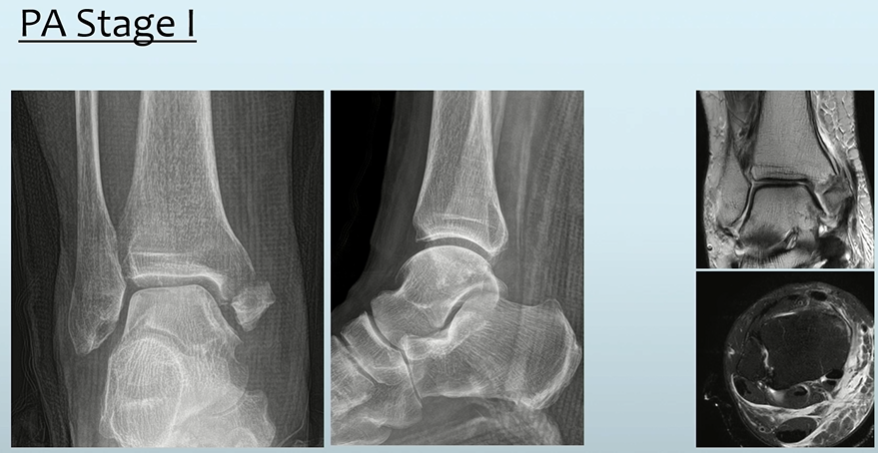
- Stage 1: MM 골절(Transverse 양상) 또는 Deltoid ligament injury
- Stage 2: PM 골절
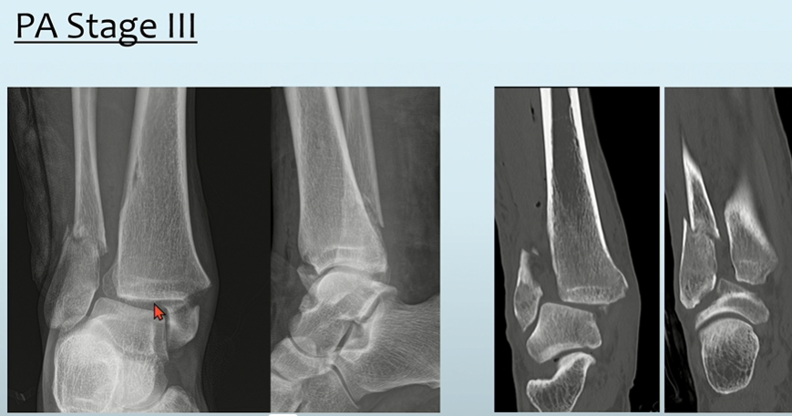
- Stage 3: Distal fibula 골절 (외측은 높고, 내측은 낮은 양상) -> 그림을 통해서 이해!


실제 양상은 다음과 같습니다.

위의 내용을 이해했다면, 위의 그림에서 말하는 내용도 쉽게 이해가 가능합니다.
6. Danis - Weber classification

fibula의 골절의 위치를 높이에 따라서 분류합니다.
Syndemosis level를 B로 정하고, 낮으면 A, 높으면 C로 정의합니다.

실제 사진을 보면 다음과 같습니다.
간혹 헷갈릴 수는 영역이 있지만, 비교적 쉽게 분류할 수 있다는 장점이 있습니다.
'정형외과 > 근골격 영상 공부' 카테고리의 다른 글
| 비구 골절_acetabulum fracture (4) | 2024.11.20 |
|---|---|
| 비구 골절_acetabulum fracture (1) | 2024.11.19 |
| 골반환 손상_Pelvic ring injury (0) | 2024.11.16 |
| 족부 골절 영상 공부_발목 외 기타 골절 (0) | 2024.11.14 |
| 발목 MRI 공부_Ankle instability (0) | 2024.11.12 |
| 발목 MRI 공부_Ankle impingement (0) | 2024.11.12 |
| 발목 MRI 공부_Ankle ligaments (2) | 2024.11.11 |
| 무릎 영상 공부(1) (0) | 2024.06.20 |