골반환 손상에 이어서, 관련된 비구 골절에 대해서 영상을 정리했습니다.
골반환 손상에 대한 링크는 다음과 같습니다.
2024.11.16 - [정형외과/근골격 영상 공부] - 골반환 손상_Pelvic ring injury
골반환 손상_Pelvic ring injury
목차1. Anatomy & Young-Burgess classification 2. APC type3. LC type 4. Vertical shear type
mrna.tistory.com
https://radiopaedia.org/articles/judet-and-letournel-classification-for-acetabular-fractures
1. Judet and Letournel classification
비구 골절의 대표적인 분류는 Judet and Letournel classification 입니다.


Anterior column과 posterior column이 있으며, 두 부위가 만나는 지역을 Sciatic buttress라고 함.
SI joint 주변부이며 체중 부하에 중요한 의미를 갖는다.

5개의 Elementary type과 5개의 Associated type으로 분류하게 된다.
Associated type은 elementary type가 더해진 형태이다
예를 들면 posterior column + posterior wall은 Associated type임.

그 중, 5개의 type이 전체의 80퍼센트에 해당.

Anterior column을 포함하는 2개의 type이 노년 층에 흔하다.

Column fracture는 Coronal 로 골절선이 위치. ( bone을 앞/뒤로 나누는 선)
Transverse fracture는 Sigittal로 골절선이 위치 (bone을 위/아래로 나누는 선)
Wall fracture는 acetabular rim을 골절선이 침범
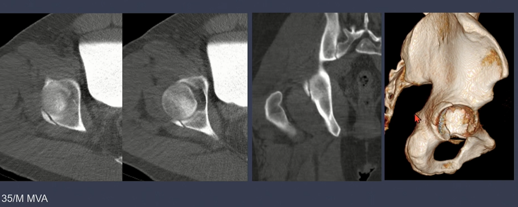
2. 각론



displacement가 없는 경우.

displacement가 있는 경우



CT상 골절선 확인. 가장 좌측 iliac wing, 중간 사진은 Quadrilateral plate에 골절선이 있음.

노란색 화살표: anterior column + 녹색 화살표 posterior hemitransverse



iliac wing쪽 골절선(녹색 점선)에 더해서, sciatic notch로 이어지는 골절선(녹색 화살표)을 확인.
노란색 별은 buttress 부위.



Spur sign은 both column fracture의 pathognomonic sign.






'정형외과 > 근골격 영상 공부' 카테고리의 다른 글
| hip disease_03_2차성 골관절염의 원인(1)_충돌증후군_FAI (2) | 2024.11.24 |
|---|---|
| hip disease_02_osteoarthritis_골관절염 (0) | 2024.11.23 |
| hip disease_01_Labral tear (0) | 2024.11.21 |
| Hip joint anatomy_고관절 해부학 (0) | 2024.11.20 |
| 비구 골절_acetabulum fracture (1) | 2024.11.19 |
| 골반환 손상_Pelvic ring injury (0) | 2024.11.16 |
| 족부 골절 영상 공부_발목 외 기타 골절 (0) | 2024.11.14 |
| 족부 골절 영상 공부_Fracture of ankle (2) | 2024.11.13 |