고관절의 질병 중에 하나인 골관절염의 영상에 대해서 정리하려고 합니다.
1. 골관절염이란?

퇴행성 관절염으로도 알려져 있습니다.
쉽게 말해, 노화로 인해서 생긴 관절염이라고 이해할 수 있습니다

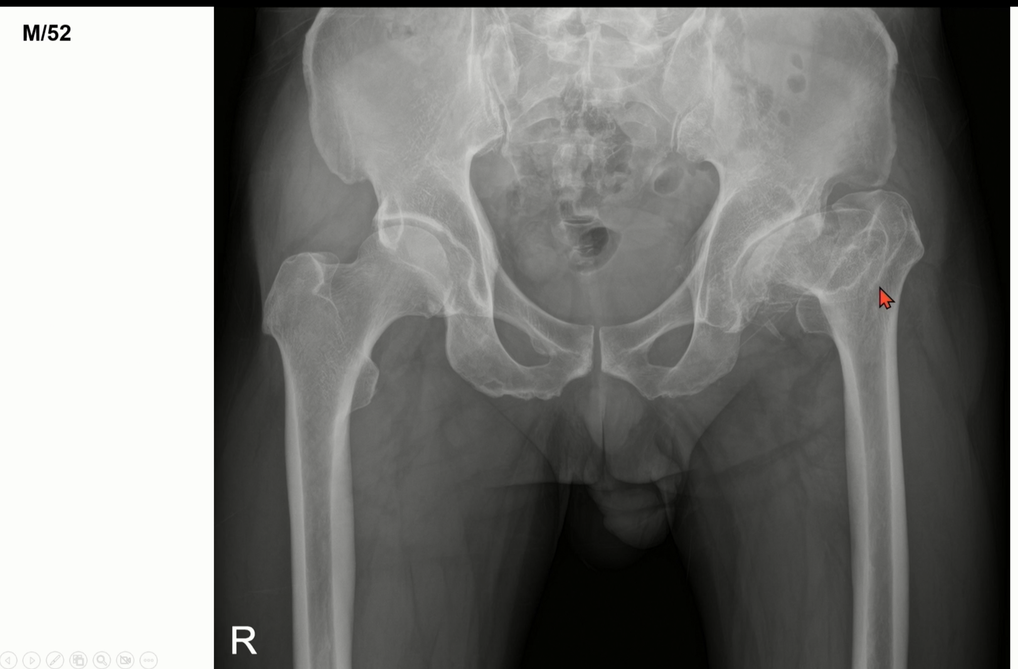
실제 진행된 고관절 관절염의 영상입니다.
joint space narrowing, subchondral screlosis and cystic change, osteophyte, superior migation을 보이고 있습니다.
2. 관절염의 병기

무릎에서 K-L grade를 사용하듯이, 고관절에서는 Tonnis grade를 사용합니다.
(실제로 임상에서는 무릎만큼 이용되지는 않고 있습니다)
Grade 0: sign 없음
Grade 1: joint space narrowing 및 sclerosis가 약하게 시작
Grade 2: cystic change 동반 및 femoral head의 sphericity의 소실 + Grade1 소견의 진행
Grade 3: joint space가 거의 없거나 head의 심한 변형
실제로 명확하게 구분해서 사용하기는 어려울 것 같습니다.
3. 2차성 골관절염이란?
다음 사진은 위에서 보았던 사진과는 다소 다른 모습을 보입니다

이 경우에는 LCP 병의 합병증으로 골관절염이 진행된 경우입니다.

이 사진은 크게 얼핏보면, 단순 퇴행성 관절염으로 생각할 수 있습니다.
하지만, hip dysplasia로 인해서 퇴행성 관절염이 생긴 경우입니다.
이처럼 단순 노화로 인해서 퇴행성 관절염이 생긴 것이 아니라, 어떠한 원인(질병 또는 외상에 의한 합병)에 의해서 발생한 경우를 2차성 골관절염이라고 부릅니다.

- Idiopathic OA: 특발성 골관절염, 이유 없이 퇴행성으로 발생한 골관절염
- Secondary OA: 2차성 골관절염, 어떠한 이유로 인해 발생한 골관절염 (이유로는 충돌 증후군, LCP 병, SCFE, 고관절 이형성증, 외상, 괴사 등이 있습니다)
다음 글에서 2차성 골관절염을 일으킬 수 있는 원인에 대해서 정리하겠습니다.
'정형외과 > 근골격 영상 공부' 카테고리의 다른 글
| Knee disease_01_Meniscus_반월상 연골판 손상 (3) | 2024.11.27 |
|---|---|
| hip disease_04_2차성 골관절염의 원인(2)_비구이형성증,대퇴골두무혈성 괴사, 연골하피로골절 (0) | 2024.11.25 |
| hip disease_03_2차성 골관절염의 원인(1)_충돌증후군_FAI (2) | 2024.11.24 |
| hip disease_01_Labral tear (0) | 2024.11.21 |
| Hip joint anatomy_고관절 해부학 (0) | 2024.11.20 |
| 비구 골절_acetabulum fracture (4) | 2024.11.20 |
| 비구 골절_acetabulum fracture (1) | 2024.11.19 |
| 골반환 손상_Pelvic ring injury (0) | 2024.11.16 |