목차
1. 개요
저번 글에서는 Ankle ligament anatomy 및 MRI 영상에 대해서 정리했었습니다. 이번에는 충돌 증후군에 대해서 영상을 정리하려고 합니다. 발목에서 발생할 수 있는 충돌 증후군의 종류 별로 정리하였습니다.
2024.11.11 - [정형외과/근골격 영상 공부] - 발목 MRI 공부_Ankle ligaments
발목 MRI 공부_Ankle ligaments
목차 1. 개요 이번 글에서는 ankle ligament에 대해서 공부하였습니다. 아래 그림에서처럼 Lateral collateral ligament complex, Medial collateral ligament complex, Distal tibiofibular syndesmosis 순으로 정리하였습니다
mrna.tistory.com
2. Ankle impingement syndrome 개요

Painful LOM을 유발하게 되고, 골성 구조 또는 연부 조직으로 인해서 발생할 수 있다.
젊고 활동적인 분들에서 더 호발하며, 영상학적인 진단만으로는 한계가 있다.

Ankle의 경우에는 충돌 증후군에는 여러 분류가 있다.
Intra-articular와 Extra-articular로 구분하는 것이 교과서적인 분류 방식이다.
3. Anterolateral impingement

Anterolateral impingement는 가장 흔하다.
주로, ATFL 및 ATIFL (특히, Bassett ligament)등의 injury로 인해 발생한 scar tissue가 원인이 되는 경우가 많다.
결과적으로 Anterolateral gutter 부위에 영향을 주게 된다.
4. Anterior impingement

Anterior impingement의 주된 mechanism은 anterior tibiotalar joint에서 관절염으로 인해서 생긴 골극이 원인.

영상학적으로 Lateral view로 tibial-dorsal talar neck angle을 측정한다.
60도 이상이 정상인데, osteophyte 등으로 60도 미만일시 원인이 될 수 있다.
Tibia와 talus의 osteophyte의 크기 및 양상에 따라서, Grade1-4까지로 분류 가능.
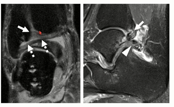
3. Posterior ankle impingement(후방 충돌 증후군)

posterior impingement의 경우에는 bony structure에 의해서 발생하는 경우가 많다,
( OS trigonum, stieda's process 등)
그 외에도 soft tissue 등이 원인이 될 수 있다.
(Ligament 구조 및 FHL tenosynovitis)
발레 선수나 축구 선수 같이 hyperdorsiflexion을 하는 경우에 호발.

Ankle의 뒤쪽에는 여러 가지 ligment 구조가 있어서, posterior impingement의 원인이 될 수 있음,
1) PITFL, 2) inferior transverse 3) intermalleolar, 4) PTFL
(가장 좌측 그림에서 화살표로 표시됨. 위에서 아래 방향)

MRI상 ligament의 signal이 변화(좌측), thickening(우측)으로 관찰될 수 있다.
4. Extra-articular lateral hindfoot impingement syndrome

주로 pathologic posterior tibialis tendon에 의해 발생한 flatfoot 및 hindfoot valgus 변형일 때 발생.
위치는
1) Talocalcaneal impingement : Lateral talus 및 calcaneus 사이에서 발생
2) Subfibular impingement: fibula와 calcaneus 사이에서 발생
위의 사진처럼 accessory anterolateral talar facet이 크게 있는 경우에 잘 일으킬 수 있다는 보고가 있다.

hindfoot valgus가 있는 실제 환자에서 impingement를 보이고 있는 MRI 영상.
'정형외과 > 근골격 영상 공부' 카테고리의 다른 글
| 비구 골절_acetabulum fracture (4) | 2024.11.20 |
|---|---|
| 비구 골절_acetabulum fracture (1) | 2024.11.19 |
| 골반환 손상_Pelvic ring injury (0) | 2024.11.16 |
| 족부 골절 영상 공부_발목 외 기타 골절 (0) | 2024.11.14 |
| 족부 골절 영상 공부_Fracture of ankle (2) | 2024.11.13 |
| 발목 MRI 공부_Ankle instability (0) | 2024.11.12 |
| 발목 MRI 공부_Ankle ligaments (2) | 2024.11.11 |
| 무릎 영상 공부(1) (0) | 2024.06.20 |