[목차]
안녕하세요 디트맨입니다.
오늘은 대한정형외과학회지 2019년에 소개된 논문을 바탕으로, 어깨 주사요법에 대해서 공부해보았습니다.

파일은 아래 첨부하였습니다.
1. 극상건 주사(supraspinatus tendon injection)
검사 자세: 견관절을 내회전 및 신전 상태로 유지(Crass position)
-> 극상건을 견봉에서 견관절의 전방부로 노출시키기 위함.
(극상건의 주행을 근거로, 대결절로 붙은 부위를 상대적으로 전면에 노출시키기 위한 자세)

초음파 영상: 좌측은 모식도에 해당하고, 우측은 실제 초음파에 해당.
좌측 사진의 2에 해당하는 부위가 극상근의 힘줄인 극상건이고, 우측 사진의 하얀색 화살표가 해당 부위에 진입한 바늘을 가르키고 있는 상황으로 이해하면 된다.


새부리 모양의 극상건의 모습을 초음파에서 확인하고, 탐색자의 방향과 맞추어 needle을 확인.
파열된 극상건에 고농도의 생리식염수를 주입해서 파열된 건 주위에 염증 반응을 일으켜 건의 회복을 돕는 증식 치료.
골조직과 건의 접촉면에서 바늘의 needling으로 인위적으로 출혈을 유발해서 조직 형성 및 강도를 강화시킬 수 있음
그 결과, 통증이 완화되며 운동 범위 개선에 도움을 줄 수 있다.
MRI 또는 초음파 검사상 건의 파열이 확인 된 경우에 증식 치료를 시도.
주사액은 12.5%의 고농도의 포도당을 사용.
우선 1cc를 주사하면서 초음파 상에서 정확한 부위에 주사가 되고 있는지 확인.
1) 완전 파열의 경우에는 찾기 쉽다
2) 부분 파열의 경우에는 파열된 부위를 정확히 찾아서 주사 시행.
-> 대결절 부위에 needling을 시행하고, 파열된 건에 주사액을 주입.
대결절 부착면 주위에서 주사를 시행하기 때문에, 근육내로 약물이 주사될 확률은 낮다.
그럼에도 불구하고, 건의 음영과 근육의 음영이 확연하게 구별가능한 대결절 부착면 주위에서 주사를 하고, 바늘끝을 회전시켜가면서 주사해야 한다.
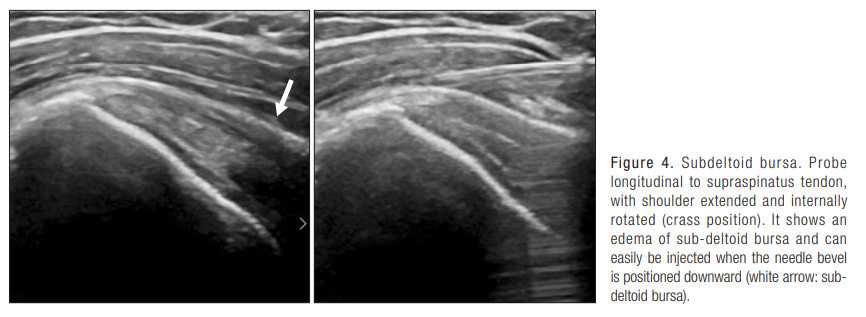
2. 견봉하 점액낭 주사( Subacromial subdeltoid bursa injection)
점액낭은 견봉의 하부, 대결절의 상부에 위치, 삼각근 바로 밑에 존재
-> subdeltoid라 칭하는 이유
검사 자세: 견관절을 내회전 및 신전 상태로 유지(Crass position)
-> 극상건과 동일.
초음파 영상

위의 초음파 사진에서는 2층의 고 에코성(밝은)의 선을 peribursal fat layer라고 하고, 그 사이의 저 에코성(어두운)의 부위를 subdeltoid bursa라고 한다. 통상적으로는 2mm 이내의 두께를 갖고, 그 이상이면 점액낭염(bursitis)라고 함.
주사 시에는 bevel의 위치를 아래로 향하게 하고, 주사액을 주입.
국소마취와 스테로이드를 병합한 약물을 사용.
초음파를 사용하면, 적은 용량의 스테로이드를 사용할 수 있어서 주변 조직의 손상을 최소화
peribursal fat layer 사이에 needle을 위치시키고, 주사액을 주입하면 저항없이 layer가 벌어지는 것을 확인할 수 있다
이런 경우 주사액이 정확한 위치에 들어가고 있음을 의미.
Needle의 끝이 deltoid의 muscle layer나 supraspinatus tendon 내에 위치하면, steroid에 의한 손상을 초래할 수 있다.
3. 극하건 주사(infraspinatus tendon)
검사 자세: 견관절을 굴곡 및 내회전하고, 손으로 반대측 어깨를 잡는 자세

극하건의 파열이 있는 경우,
고농도의 생리식염수를 주입하여 파열된 건 주위 염증 반응을 일으켜 건 회복을 돕는 증식 치료
국소 스테로이드를 병합할 수 있음.
견관절 후방 통증과 수평 내전시 통증이 악화되는 환자에서 통증 완화 및 관절 기능 향상 도움


파열된 극하건에 needle을 위치 시킴
주사액은 12.5%의 고농도의 포도당을 사용.
우선 1cc를 주사하면서 초음파 상에서 정확한 부위에 주사가 되고 있는지 확인.
극하건 점액낭에 약물을 주입할 때에는 triamcinolone을 사용
스테로이드가 극하건에 손상을 줄 수 있으므로, needle이 peribursal fat layer 사이에 위치한 것을 확인 후 주사
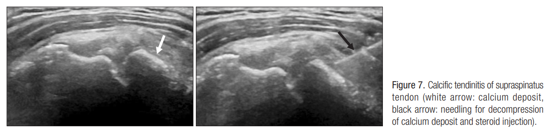
4. 석회성 건염 주사 치료( Calcific tendinitis injection)
석회성 건염 중 30퍼센트 가량이 통증이 심한 석회화 건염
초음파의 반사가 확연하여 하얗게 보이는 부위에 21 게이지 needle을 이용해서 수차례 needling
석회의 감압을 유도한 뒤 스테로이드 주사를 시행.
(석회에 진입 시 저항이 건 진입 시와 다르다)
얇은 두께의 needle을 사용하는 경우, needle 끝이 석회에 막혀 주사액이 주입되지 않는 경우도 있어, 최소 21 게이지 이상 사용하고, 18게이지까지 사용할 수 있다.
post acoustic shadow 여부로 형성기 혹은 흡수기 상태에 대한 판단
: 형성기의 경우에는 needle 끝으로 석회를 천공시켜 석회를 감압시키고, 약물을 주입하고 다시 aspiration하는 barbotage
: 흡수기의 경우에는 barbotage 술식과 함께 인접 bursa에도 약물을 주입(inflammation이 심하므로)
-> 회전근개의 부분 손상이 동반된 경우가 많으므로, 이때 회전근개 자체에는 주입하지 않는 것이 원칙

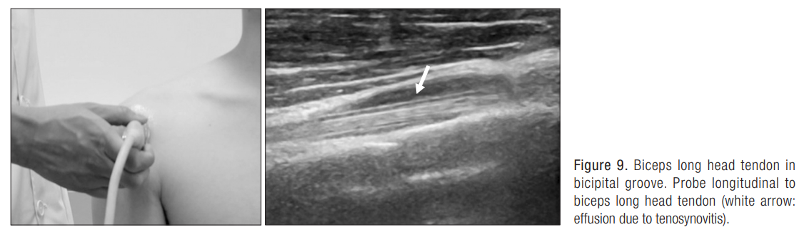
5. 이두박건 주사(Biceps long head tenosynovitis injection)
이두박건 장두부는 극상건과 견갑하건 사이에 위치, 회전근개 간격(Rotator interval)에 위치, 관절 내 상부
이두박근의 장두부는 상완골의 도랑을 지나가는데, 이 부위에서 손상시 극심한 통증 유발
이두박건이 신전되는 자세인 견관절의 신전 및 외전 자세에서 통증이 유발됨.
건초염이 있을 때에는 건막의 effusion을 확인할 수 있다.
1) 처음에는 longitudinal하게 needling 시행
Needle의 끝이 이두박건의 sheath를 뚫어, sheath와 건 사이에 needle을 위치
위치 확인 후 주사액 주입
2) transverse하게 탐촉자를 변경시키고, 주사액이 잘 들어감을 확인


견관절을 out-stretching 시 통증이 유발되면서, 초음파 상에서 effusion 있을 때, 주사 치료를 고려
극상건 혹은 극하건 파열의 증식치료와 병합(회전 근개 파열에서 이두장건의 건초염 동반 시)
관절와상완 관절 내 주사 치료 시에는 이두장건 건초로 약물이 퍼지기 때문에 병합 치료는 하지 않아도 된다.
6. 견봉쇄골 관절 주사( Acromioclavicular joint injection, AC joint injection)
견봉 쇄골 관절의 x-ray 및 초음파 소견 상의 이상만으로 증상을 유발한다고 할 수는 없다.
견쇄관절의 압통이 있으며 초음파를 보고 effusion이 있다면, 주사 요법을 시행할 수 있다.
어깨 위에서 가장 튀어난 곳이 쇄골의 외측 말단으로, 이 곳의 외측이 견봉 쇄골 관절이다.
이곳에서 내 외측으로 탐촉자을 길제 대면, 견봉 쇄골의 영상이 관찰된다.

탐촉자의 각도를 조절해서 뼈가 가장 고 에코로 관찰되는 각도에서 검사 및 주사를 시행.
견쇄 과절의 관절염이 있는 경우에는
1) 압통이 심하며, 2) 초음파 상의 effusion이 관찰되어,
국소 스테로이드 injection을 할 수 있다.
Needle의 끝이 관절낭(사진의 3번)을 뚫고, 관절강(사진의 4번)에 위치한 것을 확인한 뒤 주입.
관절강 외부로 주사액이 주사되면 주위 조직이 스테로이드에 의해 손상받을 수 있다.
7. 견관절 관절강내 주사( Glenohumeral joint injection)
어깨 관절 내로 주사를 하는 방법이다.
견관절의 유착성 관절낭염(오십견)은 관절의 움직임이 제한되고, 통증을 유발하는 질환
이때 스테로이드제와 증식요법제를 작용하면 통증과 관절 운동을 호전시킬 수 있다
관절 내 스테로이드 주사는 초기에 사용시 6주 이내에 통증이 없도록 회복
동결기 에서는 야간통과 휴식 시 발생하는 통증을 줄임.
따라서 오십견의 자연 경과를 짧게 하는 효과를 발휘한다.
주사 자세: 후방 및 전방에서 모두 접근 가능
1) 후방에서 접근:
Posterior labrum과 Humeral head 사이를 목표로 needle을 위치
탐촉자의 lateral에서 medial 방향으로 in-plane으로 삽입


2) 전방에서 접근
: rotator interval을 통해서 접근, 누운 자세에서 시행


** 다른 사이트에서 찾은 방법이 더 효과적일 것으로 보여서 첨부
: 외측에서 내측으로 접근, SS와 SC 사이 및 CHL 아래에 있는 구획으로 needling

8. 상견갑 신경 차단술(suprascapular nerve block injection)
상견갑 신경의 감각 신경 분지는 견갑골과 견봉 쇄골 관절, 견관절 상부와 후면의 70%를 포함하는데, 어깨 주변부의 감각 신경 영역의 상당 부분을 차지하고 있다.
즉, 어깨 통증 발생 시 상견갑 신경이 많은 관여를 하고 있으며, 신경에 주사를 놓는 신경 차단술은 효과적인 통증 치료법으로 알려져 있다.
아래 사진은 대략적인 모식도인데, 액와신경(axillary nerve, 녹색)과 상견갑 신경(보라색)의 신경 분포를 다루고 있다.
따라서 해당 부위의 통증 경감을 위해서 신경 차단술을 시행하면 효과적이다.

주사 자세 및 해부학적 구조는 다음과 같다.


1) 탐촉자를 suprascapular fossa의 외측 1/3 부위로 극상건의 주행방향으로 설정
2) 탐촉자를 이용해서 상견갑 절흔과 그 위에 있는 상견갑회인대(transverse scapular ligament)를 확인
3) doppler를 이용해서 suprascapular artery의 pulsation을 확인한 뒤, 피해서 주사
국소 마취제가 혼합된 10cc 정도의 용액을 6cm 길이의 23 게이지 주사를 이용
탐촉자와 수평된 상태로, 45도 각도로 삽입
상견갑횡인대 (transverse scapular ligament)에 needle 끝이 위치한 것을 확인한다. ligament를 통과하지 않는다.
ligament를 통과하여 절흔 안으로 needle을 위치하면 신경 손상이 가능성이 있기 때문이다.
참고 사이트1: https://www.pocus101.com/shoulder-ultrasound-made-easy-step-by-step-guide/
Shoulder Ultrasound Made Easy: Step-by-Step Guide - POCUS 101
Primary Authors: Lindi Moore and Peter Reim. Oversight, Review, and Final Edits by Vi Dinh (POCUS 101 Editor). Shoulder pain is a very common complaint, with a lifetime prevalence as high as 67% (Hodgetts et al., 2021). Although etiologies are broad, th
www.pocus101.com
'정형외과 > 정형외과 이야기' 카테고리의 다른 글
| S1 신경 차단술(천골 1번 추간공 경막외 스테로이드 주사) (0) | 2024.06.07 |
|---|---|
| 허리 통증에 도움이 되는 허리 주사(시술) (0) | 2024.02.15 |
| 허리 시술 주사의 종류에 대해서 알아보자. (0) | 2024.02.14 |
| 정형외과 의사가 알려주는 십자인대 수술의 모든 것. (16) | 2022.10.23 |
| 정형외과 의사가 알려주는 무릎 관절염과 인공 관절 수술. (6) | 2022.10.22 |
| 정형외과 의사가 알려주는 반월상 연골판 수술의 모든 것 (6) | 2022.10.22 |
| Cyfra21-1(폐암 종양 표지자) 수치 가 높다면, 의사가 직접 설명해주는 건강검진 결과, 폐암 가능성 (30) | 2022.10.14 |
| 정형외과 의사가 말하는 소아 질환 (4편, 성인 방아쇠 수지,소아 방아쇠 수지) (21) | 2022.10.05 |